Porcelain Veneers/Crowns
Veneers
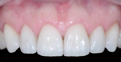
Take your smile from average to dazzling. Many people desire a beautiful smile but have chipped, stained, discolored, unevenly spaced or even slightly crooked front teeth. If this sounds like you, Dr. Patel will be glad to help evaluate your specific situation, listen to the exact changes you have in mind and show you how veneers can give you the smile of your dreams.
What is a Veneer?
A veneer is a thin, translucent piece of porcelain that is bonded to the surface of your tooth. It conceals chips, cracks, stains and discolorations. Veneers also allow Dr. Patel to close spaces and correct the crooked appearance of teeth offering an immediate transformation of your smile. When compared to composite bonding, the added beauty of a veneer is that because it is made from porcelain, it’s not only stronger but it cannot stain or discolor over time.
What should I expect when scheduling for Veneers?
Often, porcelain veneers can provide a new smile in just a few appointments. The actual treatment usually involves only two visits however the number of pre-operative visits will vary depending on the complexity of your case and the changes you desire. Once treatment goals are established we will schedule the first appointment at which Dr. Patel will prep the tooth surfaces. Approximately two weeks later, your second appointment will involve the actual placement of the restorations. Once the veneers are delivered there will be a follow up visit for final adjustments and polishing. At that time Dr. Patel will also review instructions for care of your new smile to ensure it remains just as beautiful for years to come.






Porcelain Crowns
If you’re self-conscious about your smile due to cracked, broken, decayed or worn teeth, Dr. Patel can bring back your healthy, natural-looking smile with crowns. Although a filling can restore a small defect in a tooth, a crown is the most durable, strongest way to restore a tooth with extensive damage for the long term. With all the materials and techniques modern dentistry has to offer, crowns can be totally natural looking.
Additional benefits of crowns include correcting bite problems, closing spaces between teeth and changing the angulation of teeth. They can also be used to replace missing teeth permanently (as part of a bridge or over an implant).


[ Back to Featured Services - Overview ]